▌病例作者:章佳波宁波市第一医院
▌点评作者:郭宇宁波市第一医院
摘要:HER2阳性乳腺癌侵袭性强、复发率高、预后不良。曲妥珠单抗及帕妥珠单抗的问世极大的改善了HER2阳性乳腺癌患者的预后和生存。汉曲优®作为国内首个上市的曲妥珠单抗生物类似药,疗效等同于原研曲妥珠单抗。本文通过一例HER2阳性乳腺癌辅助双靶耐药后发生脑转移的患者,探讨单纯脑转移的治疗策略,及跨线使用汉曲优联合TKI及化疗药物进行治疗的疗效。(注:本文中汉曲优为复宏汉霖研发生产的曲妥珠单抗)
病史简介
患者:女,48岁。
主诉:确诊左乳癌3年,发现脑转移1年。
婚育月经史:已婚,G1P1,末次月经2019-09-21。
既往史:无高血压、糖尿病等慢性病史。
家族史:否认肿瘤家族史。
查体:左乳缺如,左胸壁可见陈旧性手术瘢痕,愈合良好。右乳未及肿物。双侧颈部、锁骨上、腋下未及肿大淋巴结。
▌影像学检查
2019年10月乳腺彩超(术前):左乳实性占位(BI-RADS 4c级)。左腋下淋巴结肿大,考虑转移。
.png)
图1.乳腺彩超
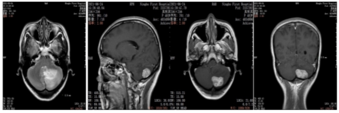
2021年6月颅脑增强MRI:左侧小脑占位,考虑转移瘤。
图2.颅脑增强MRI
▌肿瘤病理
2019.10本院行左乳癌改良根治术,术后病理:左乳浸润性癌,考虑浸润性导管癌,组织学分级Ⅱ级,脉管内癌栓(+)。LN(9/21)。IHC:ER(-),PR(-),HER2(3+),Ki67(30%),CK5/6(-),p63+CKpan(+),Mammaglobin(-)。
2021年7月12日我院行神经内镜下左侧小脑半球肿瘤切除+颅底重建术:脑转移或浸润性低分化腺癌,结合病史、免疫组化符合乳腺癌来源。ER(-),PR(-),HER2(3+),Ki67(30%)。GATA-3(+)、SOX-10(-)、AR(+)。
脑转移灶标本:ER(-),PR(-),HER2(3+),Ki67(30%)。GATA-3(+)、SOX-10(-)、AR(+)。
诊断:左乳癌术后(pT2N2M0Ⅲ期),脑转移(Ⅳ期)
治疗经过
2019.10本院行左乳癌改良根治术。
2019年10月-2020年1月:EC(表柔比星+环磷酰胺)方案化疗*4周期。
2020年2月-2020年4月:T(多西他赛)方案化疗+曲妥珠单抗(赫赛汀)+帕妥珠单抗(帕捷特)靶向治疗*4周期。
2020年5月-2021年2月:曲妥珠单抗(赫赛汀)+帕妥珠单抗(帕捷特)靶向治疗完成1年治疗。
2020年4月-2020年5月:左侧胸壁+左侧锁骨上下区+左侧内乳区放疗DT5000cGy/25Fx。
2021年6月:出现头晕头痛1周,检查颅脑增强MRI:左侧小脑占位,考虑转移瘤。
2021年7月:全麻下行神经内镜下左侧小脑半球肿瘤切除+颅底重建术。
2021年8月:脑转移瘤瘤床区放疗,放疗区域:原瘤床加局部手术进路的脑膜区,放疗剂量DT 3000 CGY/5F。
2021年8月至今:曲妥珠单抗(汉曲优)+吡咯替尼+卡培他滨
▌治疗后评价
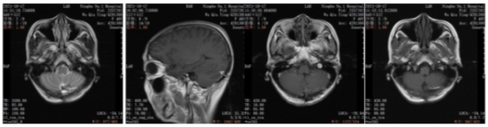
2022年5月颅脑增强MRI:左侧小脑肿瘤切除术后改变。
疗效评价CR,继续维持曲妥珠单抗(汉曲优)+吡咯替尼+卡培他滨治疗方案
图3.颅脑增强MRI
病例小结
该例患者为HER2阳性乳腺癌双靶辅助治疗后继发耐药,复发部位为单纯的脑转移。脑转移患者的抗HER2治疗一直存在着大分子单抗和小分子TKI之争。由于血脑屏障的存在,普遍认为大分子单抗进入脑内的浓度极低,但一些学者认为,如果发生肿瘤脑转移,脑肿瘤部位的血脑屏障受损,通透性要高于正常脑组织,因此曲妥珠单抗可以透过血脑屏障到达病灶部位,尤其是一些接受过脑放疗的病人更是如此。目前TKI是乳腺癌脑转移治疗主要靶向药物。小分子TKI,例如吡咯替尼、拉帕替尼、奈拉替尼等联合化疗对脑部病灶的疗效已被证实。
如果大分子单抗联合小分子TKI,对颅内病灶疗效是否能更上一层楼呢?针对双靶治疗后继发耐药的患者,出现单纯脑转移与合并多脏器转移的脑转移,治疗策略是否有所不同,保留大分子单抗药物对颅脑外转移灶是否仍然存在抑制作用,值得进一步探讨?2021版中国抗癌协会乳腺癌诊治指南与规范允许曲妥珠单抗跨线治疗,对HER2阳性脑转移患者可考虑给予“H+TKI+化疗”方案。对这例患者,在切除脑转移灶及放疗后选择了汉曲优+吡咯替尼+卡培他滨作为二线治疗,随访中已有15月的PFS,目前仍是CR状态,达到预期效果,期待更长的生存时间。
备注:该患者在初诊时适合新辅助化疗及靶向,但患者拒绝,要求先行根治性手术。
专家点评
HER2阳性乳腺癌的脑转移由于预后差生存期短,仍是我们治疗进展期乳腺癌挑战之一。10%~15%转移性乳腺癌在疾病期间会发生脑转移,诊断脑转移后的平均OS为2~16月【1】,并且在HER2阳性患者中脑转移更为常见。在转移性HER2阳性的乳腺癌患者中,脑转移发生率高达30%~55%【2】。由于治疗和术后随访的规范化以及抗HER2靶向药物的应用,使转移性HER2阳性乳腺癌患者生存时间明显延长,身体其他部位肿瘤复发的有效控制,乳腺癌脑转移的发生率也逐年增加【3】。对于脑转移病灶的局部处理,ASCO CNS、ESO-ESMO、NCCN CNS以及CSCO BC相关的指南告诉我们,乳腺癌脑转移为寡病灶时的治疗,可以手术切除,术后放疗。HER2阳性乳腺癌脑转移全身系统治疗,由于针对HER2阳性乳腺癌靶向药物的广泛临床应用,包括大分子单抗和小分子TKI药物,对HER2阳性复发转移乳腺癌的治疗也有了长足的进展。
吡咯替尼Ⅲ期PHENIX研究【4】以及PHEOBE研究,发现吡咯替尼联合卡培他滨对脑转移灶具有明显的缩瘤效果,河南省肿瘤医院闫敏教授牵头的PERMEATE研究【5】:吡咯替尼联合卡培他滨治疗HER2阳性晚期乳腺癌脑转移的单臂、前瞻、开放性Ⅱ期临床研究,再次证实了PHENIX研究的疗效,对颅内和颅外病灶均有良好的控制。PFS:11.3个月(95%CI:7.7~14.6);CNS-ORR:74.6%,59例患者中有7例达到CR;non-CNS ORR:70.4%。
BCRC 022研究【6】探讨了奈拉替尼联合化疗治疗HER2+乳腺癌脑转移的有效性和安全性。该Ⅱ期非随机、非盲、三组平行研究入组患者49例,其中37例之前未接受过拉帕替尼治疗(3A组),12例接受过拉帕替尼治疗(3B组)。结果显示:3A组、3B组的CNS ORR分别为49%、33%,中位无进展生存(PFS)分别为5.5个月和3.1个月,中位总生存(OS)分别为13.3个月和15.1个月。该研究结果表明,奈拉替尼+卡培他滨对于难治性HER2+乳腺癌脑转移患者有效。
这些临床研究验证了小分子TKI药物抗HER2靶向药物在脑转移患者的疗效,一般认为小分子靶向药物可通过血脑屏障,发挥控瘤作用。那么大分子单抗在HER2阳性乳腺癌脑转移的疗效怎么样?可以进入血脑屏障吗?PATRICIA研究【7】证实大剂量曲妥珠单抗或对乳腺癌脑转移的疗效。PATRICIA研究是一项标签开放、单臂Ⅱ期研究,患者接受帕妥珠单抗(840mg负荷剂量,此后每3周420mg)和高剂量曲妥珠单抗(6mg/kg每周一次)治疗,直至CNS或全身疾病进展或出现无法耐受的毒性反应。患者缓解率为11%,4个月的临床受益率为68%,6个月的临床受益率为51%。PATRICIA研究证实大分子也能突破血脑屏障!
大分子单抗加小分子TKI联合化疗,是否会发挥各自的特点,起到“里应外合”抗瘤的作用?HER2CLIMB研究【8】很好的回答了这个问题。HER2CLIMB是一项全球、随机、双盲的安慰剂对照试验,患者以2∶1的比例随机分为图卡替尼联合曲妥珠单抗和卡培他滨治疗组(图卡替尼组)和安慰剂联合曲妥珠单抗和卡培他滨治疗组(对照组),所有入组患者先前接受过曲妥珠单抗、帕妥珠单抗和T-DM1治疗,约47%的患者存在脑转移。研究结果发现,Tucatinib+卡培他滨+曲妥珠单抗组和卡培他滨+曲妥珠单抗+安慰剂组患者的1年PFS率分别为33%和12%,两组的中位PFS分别为7.8个月和5.6个月,mPFS:9.9个月vs 4.2个月;mOS:18.1个月vs 12.0个月;ORR-IC:47%vs 20%。Tucatinib+卡培他滨+曲妥珠单抗方案表现出更优的疗效(HR=0.54,95%CI:0.42~0.71,P<0.00001)。重要的是,在亚组分析中,对于脑转移患者,接受Tucatinib+卡培他滨+曲妥珠单抗联合用药也明显降低了患者的疾病进展或死亡风险。
结合HER2CLMB初步分析,Tucatinib联合曲妥珠单抗和卡培他滨是治疗HER2阳性转移性乳腺癌患者颅内和颅外疾病的有效方案,Tucatinib使颅内进展或死亡的风险下降了68%,使死亡风险下降了42%,HER2CLMB是第一个随机试验表明HER2阳性脑转移乳腺癌患者颅内反应率、CNS-PFS,OS改善的试验,TKI类药物联合曲妥珠单抗在HER2阳性乳腺癌脑转移患者中表现出了抗肿瘤活性。
本例患者术前评估左乳实性占位(BI-RADS 4c级)。左腋下淋巴结肿大,考虑转移。术后病理:ER(-),PR(-),HER2(3+),Ki67(30%)。由于患者的原因,未能做新辅助治疗,缺失了新辅助治疗后的再一次疗效评估,以及对辅助治疗的进一步决策。术后辅助治疗EC-THP(表柔比星+环磷酰胺,序贯多西他赛+赫赛汀+帕捷特),之后辅助曲妥珠单抗(赫赛汀)+帕妥珠单抗(帕捷特)靶向治疗完成1年治疗。在辅助靶向治疗后4月发现单发脑转移病灶。之后行左侧小脑半球肿瘤切除+颅底重建术。脑转移瘤瘤床区放疗。全身系统治疗:汉曲优+吡咯替尼+卡培他滨作为二线治疗,随访中已有15月的PFS,目前仍是CR状态。
这个患者术后辅助治疗选择的赫赛汀+帕捷特加化疗,治疗结束不到一年发现脑转移,考虑对靶向药物有耐药。下一步的治疗选择了赫赛汀的生物类似药汉曲优联靶合小分子TKI靶向药物吡咯替尼加卡培他滨,收到了很好的疗效,病灶得到了很好的控制,PFS达到15月的结果,也再次验证了大小分子靶向药联合应用在HER2阳性乳腺癌脑转移的良好效果。汉曲优作为国产自主研发的曲妥珠单抗生物类似药,在跨线治疗中显现有自身的特点和疗效。并且汉曲优不含防腐剂,降低了防腐剂可能引起的副反应风险。拥有150mg和60mg两种小规格,使临床应用中更加安全、便捷,是HER2阳性乳腺癌治疗另一个选择。
▌参考文献
1.Weil,R.J.,et al.,Breast Cancer Metastasis to the Central Nervous System.American Journal of Pathology,2005.167(4):p.913-920.
2.Lin,N.U.,et al.,CN S metastases in breast cancer:old challenge,new frontiers.Clinical Cancer Research An Official Journal ofthe Ameri can Association for Cancer Research,2013.19(23);p.6404-6418.
3.Lombardi,G.,et al.,Systemic treatments for brain metastases from breast cancer,non-small cell lung cancer,melanoma and renal cell carcinoma:An overview of the literature.Cancer Treatment Reviews,2014.40(8):p.951-959.
4.Zefei Jiang,et al.ASCO,2019,abstract 1001
5.Lancet Oncol 2022;published online Jan 24.https://doi.org/10.1016/S1470-2045(21)00716-6.
6.J Clin Oncol.2019 May 1;37(13):1081-1089
7.Lin,N.U.,Pegram,M.Sahebjam,S.Ibrahim,N.Fung,A.Cheng,A.&Kumthekar,P.(2021).Pertuzumab Plus High-Dose Trastuzumab in Patients With Progressive Brain Metastases and HER2-Positive Metastatic Breast Cancer:Primary Analysis of a Phase II Study.Journal of Clinical Oncology.JCO-20.
8.G.Curigliano,V.Mueller,V.Borges,et al.Tucatinib versus placebo added to
trastuzumab and capecitabine for patients with pretreated HER2 metastatic breast
cancer with and without brain metastases(HER2CLIMB):fnal overall survival analysis.
Annals of Oncology,2021,DOI:10.1016/j.annonc.2021.12.005
病例作者简介
章佳波副主任医师
宁波市第一医院乳腺甲状腺外科
临床医学七年制硕士
浙江省医师协会乳腺专业组青年委员
宁波市医学会乳腺专业委员会青年委员
宁波市医学会甲状腺专业委员会青年委员
2016年获中国抗癌协会“乳腺肿瘤菁英赛”全国总决赛第二名
2019年中国医药教育协会“麦默通乳腺微创活检手术优秀视频比赛”浙江赛区一等奖
主持宁波市自然科学基金1项,获发明专利2项
宁波市外科规培质控中心秘书,本院外科规培基地教学秘书
宁波市第一医院第六届“十佳青年医师”
病例点评专家简介
郭宇教授
宁波市第一医院外科系主任乳腺外科主任
主任医师硕士研究生导师
中国医药教育协会乳腺疾病专业委员会委员浙江分会常委
浙江省肿瘤微创联盟乳腺专委会副主任委员
浙江省医师协会乳腺癌专业委员会常委
浙江省中西医结合学会乳腺专业委员会常委
浙江省抗癌协会甲状腺肿瘤专业委员会常委
浙江省抗癌协会乳腺专业委员会委员
浙江省医学会甲状腺专业委员会委员
宁波市医学会乳腺疾病分会副主任委员
宁波市中西医结合甲状腺乳腺专业委员会副主任委员
宁波市肿瘤质控中心副主任