当前位置:肿瘤瞭望>百家>病例>正文

持续抗HER,长久获益丨一例HER2阳性晚期乳腺癌的病例分享

作者:肿瘤瞭望   日期:2022/6/28 10:42:50  浏览量:20797

肿瘤瞭望版权所有,谢绝任何形式转载,侵犯版权者必予法律追究。

HER2阳性乳腺癌侵袭性强、复发率高、预后不良。曲妥珠单抗的问世极大地改善了HER2阳性乳腺癌患者的预后和生存。汉曲优?作为国内首个上市的曲妥珠单抗生物类似药,疗效等同于原研曲妥珠单抗。本文通过一例复发转移的HER2阳性乳腺癌使用汉曲优联合化疗药物进行治疗的病例,探讨了难治性的HER2阳性脑转移乳腺癌患者的治疗选择。(注:本文中汉曲优为复宏汉霖研发生产的曲妥珠单抗)

 ▌病例作者:桂欣钰医生 北京大学肿瘤医院

 
 ▌点评专家:梁 旭教授 北京大学肿瘤医院
 
编者按
 
●HER2阳性乳腺癌侵袭性强、复发率高、预后不良。曲妥珠单抗的问世极大地改善了HER2阳性乳腺癌患者的预后和生存。汉曲优®作为国内首个上市的曲妥珠单抗生物类似药,疗效等同于原研曲妥珠单抗。本文通过一例复发转移的HER2阳性乳腺癌使用汉曲优联合化疗药物进行治疗的病例,探讨了难治性的HER2阳性脑转移乳腺癌患者的治疗选择。(注:本文中汉曲优为复宏汉霖研发生产的曲妥珠单抗)
 
病史简介
 
患者马某,女,60岁;身高:164cm,体重:60kg,体表面积:1.64m2
 
主诉:右乳浸润性导管癌改良根治术后12年,肝转移8年余。
 
婚育月经史:已婚,育有1女,既往月经正常,49岁绝经。
 
既往史:否认高血压、糖尿病、冠心病等慢性病史。
 
家族史:父亲患肺癌,否认乳腺癌、卵巢癌家族史。
 
查体:ECOG 1分,右乳缺如,右胸壁可见陈旧性手术瘢痕,愈合良好。左乳未及肿物。双侧颈部、锁骨上、腋下未及肿大淋巴结。
 
肿瘤病理:
 
2010-03于外院行右乳癌改良根治术,术后病理:肿瘤直径1.8mm,浸润性导管癌,Ⅲ级,脉管癌栓阳性,各切缘净。腋窝淋巴结转移0/8。
 
肿瘤分子病理:
 
右乳癌改良根治术后标本,免疫组化:ER(-),PR(-),HER2(3+),Ki67(+,10-20%)。
 
治疗经过
 
手术:患者2010年3月发现右乳腺内下象限3cm质硬肿物。2010-03-15外院行右乳癌改良根治术,术后病理我院会诊:肿瘤直径2.1cm,浸润性导管癌Ⅲ级,脉管癌栓阳性。腋窝淋巴结转移0/8。免疫组化:ER(-),PR(-),HER2(3+),Ki67(+,10%-20%)。
 
术后辅助治疗:自2010年4月行TC方案化疗4周期,具体:TXT 75mg/m2 120mg d1,CTX 600mg/m2 1g d1,q21d。之后口服他莫昔芬辅助内分泌治疗至2013年6月。未行辅助放疗。术后1年6月时,自2011-9-2至2012-08-01行辅助曲妥珠单抗治疗1年。
 
复发转移:2012-12当地查腹部超声示肝内5cm结节,CEA 16 ng/ml,未进一步诊治。2013-6就诊于我院,腹部超声示:肝内多发占位,最大8.3*8.2*6.3cm,不除外M。肝脏造影示:肝右后叶病灶并肝内多发子灶,考虑M,病灶总范围8.0*5.8cm;PET-CT示:肝右叶高代谢肿块,8.4*7.5cm, 考虑为恶性。肝S4段高代谢结节及S3可疑高代谢结节,考虑为转移。左9肋高代谢灶,局部骨密度增高、骨皮质轻度膨胀,不除外骨转移。
 
▌影像学检查:
 
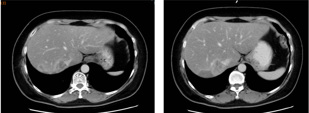
2013年6月30日腹部CT:肝右后叶病灶并肝内多发子灶,考虑M,病灶总范围8.0*5.8cm,其病灶周围可见多发异常廓清子灶(4-5个),最大约1.6cm;
 
图1. 腹部CT
 
▌诊断:
 
右乳浸润性导管癌改良根治术后复发 pT2N0M0 ⅡA期→Ⅳ期  
 
HER2扩增型(非Luminal型)  
 
肝转移
 
骨转移
 
▌一线治疗:
 
入组MO28047临床试验(PERUSE研究),于2013-7-16开始行紫杉醇+曲妥珠单抗+帕妥珠单抗方案治疗,具体:紫杉醇175mg/m2 270mg d1;帕妥珠单抗首剂840mg,以后420mg d1;曲妥珠单抗首剂 8mg/kg 484mg,以后6mg/kg 363mg d1,Q21d。最佳疗效PR,自第10周期调整为双靶维持治疗。2015年12月(42周期时)原靶病灶维持PR,新发18mm肝转移,评效病情进展,PFS为30月。不良反应:腹泻2级,粒细胞下降2级。
 
图2. 一线治疗
 
▌二线治疗:
 
于2015-12-18至2016-05行EC化疗6周期,具体:表柔比星90mg/m2 150mg,环磷酰胺600mg/m2 1000mg d1,Q21d。最佳评效:缩小的SD,2016-5-16改为卡培他滨维持治疗6月,具体:卡培他滨 1.5g bid d1-d14,q21d(1月后因周身不适减量至1.0g bid)。2016-11复查出现新发肝转移,评效PD。PFS为11月。
 
图3. 二线治疗
 
▌三线治疗:
 
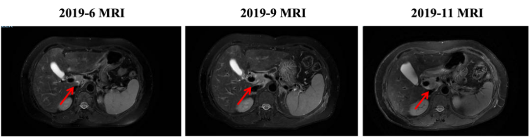
入组MO28231临床试验,于2016-12-1开始行T-DM1治疗,具体:T-DM1 3.6mg/kg 237.6mg d1,Q21d。最佳评效PR。肝门区淋巴结自2019-6出现,逐渐增大,2019-11增大至29*22mm,考虑转移,判定为新发病灶PD出组,共治疗48周期,PD时间为2019-6,PFS为30月。不良反应:胆红素升高1级,血小板下降1级,疲劳1级,鼻出血1-2级,关节僵硬1级,手足麻木1级。
 
图4. 三线治疗
 
▌四线治疗:
 
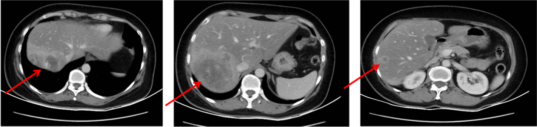
2019-11开始换用吡咯替尼联合长春瑞滨治疗,最佳评效:SD。2020-11新发肝转移病灶,评效PD,PFS为12月。不良反应:腹泻1-2级,手足麻木级(期间因不良反应予吡咯替尼减量,长春瑞滨改节拍减量)。
 
图5. 四线治疗
 
▌五线治疗:
 
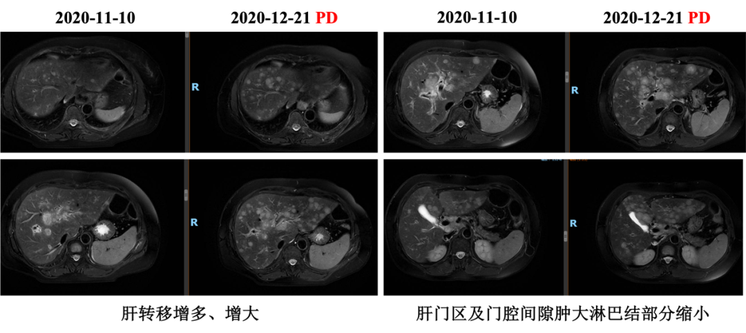
自2020-11-10行白蛋白紫杉醇+伊尼妥单抗治疗2周期,具体:伊尼妥单抗8mg/kg 首剂,6mg/kg 后续d1+白蛋白紫杉醇125mg/m2 200mg d1、d8,Q21d。2周期后肝转移增多、增大,肝门区及门腔间隙肿大淋巴结部分缩小,综合评效PD,PFS为1.5月。
 
图6. 五线治疗
 
▌六线治疗:
 
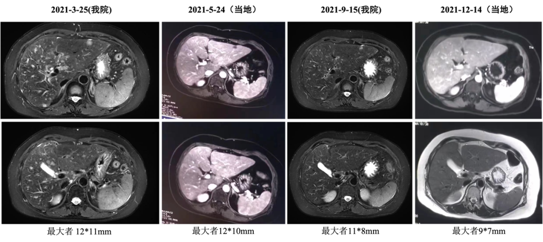
2020-12-22始行吉西他滨+曲妥珠单抗(汉曲优)+帕妥珠单抗治疗,具体:吉西他滨1g/m2 1.6g d1、1.8g d8;曲妥珠单抗首次 8mg/kg 520mg,以后6mg/kg 390mg,帕妥珠单抗首次840mg,以后420mg,d1,Q21d;自第10周期开始双靶维持治疗。2021-03-25复查:肝内多发转移较前减少、缩小(较大24x20mm→12x11mm),肝门区及门腔间隙淋巴结缩小(28*18mm→12*7mm),左侧肋骨转移减轻),最佳评效PR。2021-12-15头MRI示可疑脑膜转移,评效PD,PFS为12月。不良反应:手足麻木2度,肝功损伤2度。
 
图7 六线治疗
 
▌病例小结:
 
该例患者为58岁绝经后女性,改良根治术后复发转移乳腺癌患者,分子分型为HER2扩增型(非Luminal型)。
 
治疗经过可简单总结为下表:
 
 
目前对于HER2阳性晚期乳腺癌的治疗策略,CLEOPATRA临床研究[1]奠定了THP方案标准一线治疗方案的地位,PHOEBE临床研究[2]使吡咯替尼联合卡培他滨成为国内标准二线治疗方案,而EMILIA临床研究[3]使T-DM1方案成为国际上标准二线治疗方案,但最新报道的DESTINY-Breast03临床研究[4]结果使T-DXd取代T-DM1成为国际标准二线治疗方案。对于HER2阳性脑转移患者,根据HER2CLIMB临床研究[5]结果,二线亦可选择图卡替尼联合曲妥珠单抗联合卡培他滨治疗方案。三线及后线治疗目前没有统一标准方案,曲妥珠单抗联合化疗、拉帕替尼联合卡培他滨、Margetuximab联合化疗、奈拉替尼联合卡培他滨等都是可选择的方案,可结合患者具体情况进行个性化地选择。
 
专家点评
 
HER2阳性乳腺癌侵袭性强、复发率高,预后不良。对于HER2阳性晚期乳腺癌,基于多项临床研究结果及多项指南推荐,以曲妥珠单抗为基础的抗HER2治疗是HER2阳性晚期乳腺癌的标准治疗。抗HER2药物包括大分子单抗(如曲妥珠单抗、帕妥珠单抗)、小分子TKI(如吡咯替尼、拉帕替尼、奈拉替尼、图卡替尼)及抗体偶联药物(如T-DM1、T-DXd)[6-7]。在中国目前T-DXd及图卡替尼不可及,如何调整抗HER2治疗策略,使患者达到长久获益仍是很重要的议题。
 
经此例患者可看到对于HER2阳性晚期乳腺癌患者,持续抗HER2可使患者持久获益、长久生存。此患者通过入组临床研究接受了先进的治疗方案,自复发转移至今已生存8年之久。该患者辅助治疗行TC化疗4周期、TAM口服2年余、术后1年半时行曲妥珠单抗1年,DFS为39月,复发一线时存在多发肝转移,紫杉醇停药3年、曲妥珠单抗停药10月。复发一线入组国际多中心临床研究,选择含妥妥双靶的THP方案,PFS长达30个月。二线患者因经济原因未接受拉帕替尼联合卡培他滨治疗,接受蒽环序贯卡培他滨治疗。T-DM1在该例患者复发三线中PFS长达30个月,在TH3RESA研究[8-9]中,T-DM1在既往多线抗HER2治疗后的患者较医生选择的方案可延长PFS和OS。患者四线治疗时应用小分子TKI吡咯替尼联合长春瑞滨,仍取得了PFS 12个月较好的疗效,考虑与其小分子TKI为抑制胞内酪氨酸激酶区,抗HER2机制与之前大分子单抗不同相关。后线治疗选择时,目前T-DXd、图卡替尼等很多新型药物在中国仍不可及,至后线(复发六线)再次挑战大分子单抗双靶治疗,取得非常好的疗效(最佳疗效PR,PFS长达12月)。
 
曲妥珠单抗是一种重组DNA衍生的人源化单克隆抗体,特异性地作用于人表皮生长因子受体-2(HER2)的细胞外部位。此抗体含人IgG1框架,互补决定区源自鼠抗p185HER2抗体,能够与HER2蛋白结合。阻断HER2介导的信号转导通路,下调细胞膜HER2水平。曲妥珠单抗在体外及动物实验中均显示可抑制HER2过度表达的肿瘤细胞的增殖。另外,曲妥珠单抗是抗体依赖的细胞介导的细胞毒反应(ADCC)的潜在介质。在体外研究中,曲妥珠单抗介导的 ADCC被证明在HER2过度表达的癌细胞中比HER2非过度表达的癌细胞中更优先产生[10-11]
 
日本PRECIOUS临床研究[12]为帕妥珠单抗再治疗既往接受过帕妥珠单抗、曲妥珠单抗和化疗的HER2阳性、局部晚期/转移性乳腺癌患者的随机、开放标签、Ⅲ期临床试验。该研究验证了曲帕双靶再治疗可作为既往接受过含帕妥珠单抗方案的HER2阳性局部晚期/转移性乳腺癌患者的治疗选项。从作用机制上,曲妥珠单抗和帕妥珠单抗分别作用于HER2蛋白不同的结构域,作用机制互补,实现HER2通路充分阻滞,ADCC效应叠加,从而达到更佳的抗肿瘤作用[13-14]。
 
参考文献
 
[1] Swain SM, Miles D, Kim SB, Im YH, Im SA, Semiglazov V, Ciruelos E, Schneeweiss A, Loi S, Monturus E, Clark E, Knott A, Restuccia E, Benyunes MC, Cortés J; CLEOPATRA study group. Pertuzumab, trastuzumab, and docetaxel for HER2-positive metastatic breast cancer (CLEOPATRA): end-of-study results from a double-blind, randomised, placebo-controlled, phase 3 study. Lancet Oncol. 2020 Apr;21(4):519-530.
 
[2] Xu B, Yan M, Ma F, Hu X, Feng J, Ouyang Q, Tong Z, Li H, Zhang Q, Sun T, Wang X, Yin Y, Cheng Y, Li W, Gu Y, Chen Q, Liu J, Cheng J, Geng C, Qin S, Wang S, Lu J, Shen K, Liu Q, Wang X, Wang H, Luo T, Yang J, Wu Y, Yu Z, Zhu X, Chen C, Zou J; PHOEBE Investigators. Pyrotinib plus capecitabine versus lapatinib plus capecitabine for the treatment of HER2-positive metastatic breast cancer (PHOEBE): a multicentre, open-label, randomised, controlled, phase 3 trial. Lancet Oncol. 2021 Mar;22(3):351-360.
 
[3] Diéras V, Miles D, Verma S, Pegram M, Welslau M, Baselga J, Krop IE, Blackwell K, Hoersch S, Xu J, Green M, Gianni L. Trastuzumab emtansine versus capecitabine plus lapatinib in patients with previously treated HER2-positive advanced breast cancer (EMILIA): a descriptive analysis of final overall survival results from a randomised, open-label, phase 3 trial. Lancet Oncol. 2017 Jun;18(6):732-742.
 
[4] Trastuzumab Deruxtecan Data Impresses at ESMO. Cancer Discov. 2021 Nov;11(11):2664-2665.
 
[5] Curigliano G, Mueller V, Borges V, Hamilton E, Hurvitz S, Loi S, Murthy R, Okines A, Paplomata E, Cameron D, Carey LA, Gelmon K, Hortobagyi GN, Krop I, Loibl S, Pegram M, Slamon D, Ramos J, Feng W, Winer E. Tucatinib versus placebo added to trastuzumab and capecitabine for patients with pretreated HER2+ metastatic breast cancer with and without brain metastases (HER2CLIMB): final overall survival analysis. Ann Oncol. 2022 Mar;33(3):321-329.
 
[6] Figueroa-Magalh?es MC, Jelovac D, Connolly R, Wolff AC. Treatment of HER2-positive breast cancer. Breast. 2014 Apr;23(2):128-136.
 
[7] Pernas S, Tolaney SM. Clinical trial data and emerging strategies: HER2-positive breast cancer. Breast Cancer Res Treat. 2022 Apr 9.
 
[8] Larionov AA. Current Therapies for Human Epidermal Growth Factor Receptor 2-Positive Metastatic Breast Cancer Patients. Front Oncol. 2018 Apr 3;8:89.
 
[9] Boyraz B, Sendur MA, Aksoy S, Babacan T, Roach EC, Kizilarslanoglu MC, Petekkaya I, Altundag K. Trastuzumab emtansine (T-DM1) for HER2-positive breast cancer. Curr Med Res Opin. 2013 Apr;29(4):405-14.
 
[10] Maximiano S, Magalh?es P, Guerreiro MP, Morgado M. Trastuzumab in the Treatment of Breast Cancer. BioDrugs. 2016 Apr;30(2):75-86.
 
[11] Derakhshani A, Rezaei Z, Safarpour H, Sabri M, Mir A, Sanati MA, Vahidian F, Gholamiyan Moghadam A, Aghadoukht A, Hajiasgharzadeh K, Baradaran B. Overcoming trastuzumab resistance in HER2-positive breast cancer using combination therapy. J Cell Physiol. 2020 Apr;235(4):3142-3156.
 
[12] Bartsch R. SABCS 2020: update on triple-negative and metastatic HER2-positive breast cancer. Memo. 2021;14(3):247-251.
 
[13] Kreutzfeldt J, Rozeboom B, Dey N, De P. The trastuzumab era: current and upcoming targeted HER2+ breast cancer therapies. Am J Cancer Res. 2020 Apr 1;10(4):1045-1067.
 
[14] Oh DY, Bang YJ. HER2-targeted therapies - a role beyond breast cancer. Nat Rev Clin Oncol. 2020 Jan;17(1):33-48. 
 
病例作者简介
 
 
桂欣钰 医生
 
北京大学肿瘤医院乳腺肿瘤内科
 
主治医师
 
中国女医师协会乳腺疾病研究中心学术秘书
 
中国女医师协会乳腺专业青年委员会会员
 
发表多篇SCI论著、中文核心期刊论文
 
病例点评专家简介
 
 
梁旭 教授
 
北京大学肿瘤医院乳腺内科
 
医学博士、副主任医师
 
中国女医师协会乳腺疾病研究中心委员
 
北京乳腺病防治学会内科专业委员会委员
 
北京乳腺病防治学会肿瘤免疫治疗专业委员会常委
 

本内容仅供医学专业人士参考


HER2阳性晚期乳腺癌

分享到: 更多