当前位置:肿瘤瞭望>百家>病例>正文

例例在望丨MET新例量:MET扩增的NSCLC患者的MET-TKI治疗选择和疗效

作者:肿瘤瞭望   日期:2024/12/27 14:12:47  浏览量:9993

肿瘤瞭望版权所有,谢绝任何形式转载,侵犯版权者必予法律追究。

EGFR、ALK和ROS1等经典靶点骈兴错出。紧随其后,间充质-上皮转化因子(MET)被验证是在非小细胞肺癌(NSCLC)领域的重要驱动基因和治疗靶点。既往研究表明,MET突变的NSCLC患者接受一线化疗的中位总生存(OS)约为半年,而接受免疫治疗的中位无进展生存(PFS)仅为1-2个月左右[1-2]。靶向治疗拉开了肿瘤精准医疗的帷幕,得益于FISH检测、NGS panel等技术手段的不断成熟以及药物研发、前瞻性临床研究的快速跟进,针对MET基因变异的靶向治疗迎来突破性进展。

例例在望微专辑
扫描二维码
可查看更多内容
 
崔艺蒙,马锐丨辽宁省肿瘤医院胸内二科
 
EGFR、ALK和ROS1等经典靶点骈兴错出。紧随其后,间充质-上皮转化因子(MET)被验证是在非小细胞肺癌(NSCLC)领域的重要驱动基因和治疗靶点。既往研究表明,MET突变的NSCLC患者接受一线化疗的中位总生存(OS)约为半年,而接受免疫治疗的中位无进展生存(PFS)仅为1-2个月左右[1-2]。靶向治疗拉开了肿瘤精准医疗的帷幕,得益于FISH检测、NGS panel等技术手段的不断成熟以及药物研发、前瞻性临床研究的快速跟进,针对MET基因变异的靶向治疗迎来突破性进展。
 
常见的MET通路的异常激活主要包括MET exon14跳跃突变、MET基因扩增、MET基因融合、MET蛋白过表达等[3]。MET基因扩增是指基因拷贝数增加,包括局部扩增和多倍体两种形式,局部扩增作为驱动肿瘤发生和进展的主要因素。耐药机制方面,MET基因扩增分为原发性扩增和继发性扩增。约1%-5%的患者出现原发性MET扩增;而获得性MET扩增患者占比约15%[4-5]。目前,国内尚无针对MET扩增NSCLC患者的药物适应症获批。NCCN指南提示,对于具有MET高拷贝数扩增(≥10)的患者可能从克唑替尼、卡马替尼、特泊替尼治疗中获益[6]。当前,越来越多MET抑制剂的相关临床研究逐步证实除MET exon14跳跃突变外,其在MET扩增的NSCLC患者同样疗效显著。
 
本文报告了2例MET基因扩增的肺腺癌病例,旨在表明这类患者对MET-TKI治疗产生应答。
 
马锐教授
辽宁省肿瘤医院胸内二科主任,肿瘤学博士
中国医科大学、大连医科大学硕士研究生导师
学术兼职:中国临床肿瘤学会理事会理事,中国老年学学会老年肿瘤专业委员执行委员,中国老年学学会老年肿瘤专业委员肺癌分委会常务委员,中国医药教育协会肺部肿瘤专委会常务委员,辽宁省生命科学学会常务理事,中国抗癌协会肺癌专业委员会委员,辽宁省抗癌协会理事会理事,辽宁省生命科学学会肺癌专业委员会主任委员,辽宁省抗癌协会肿瘤转移专业委员会主任委员,辽宁省抗癌协会肿瘤标志物专业委员会副主任委员,辽宁省医学会内科学分会委员会常务委员,辽宁省生命科学学会老年肿瘤专业委员会常务委员
 
中国肿瘤生物治疗杂志、中国实用内科、医学与哲学,沈阳医学院学报等多家杂志编委及审稿专家。主持省部级、市级课题9项,获辽宁省科技进步三等奖2项、沈阳市科技进步二等奖1项,第一及通讯作者发表论文40余篇。
 
崔艺蒙
辽宁省肿瘤医院胸内二科医师,肿瘤学博士
肿瘤大数据与真实世界研究专业委员会委员
多原发和不明原发肿瘤专业委员会委员
第一作者发表论文3篇。
 
病例1
 
62岁男性患者,有长期吸烟史。2022年7月患者因呼吸困难行肺CT提示右侧大量胸腔积液。右侧胸腔穿刺引流共引出黄色胸水累计4000ml。胸水细胞学:可疑恶性细胞。病理会诊:(胸水细胞)见少量异型细胞,免疫细胞化学结果提示:肺来源腺癌细胞可能性大。完善检查后确诊为右肺上叶恶性肿瘤cT2bN2bM1a IVA期。多基因检测(血检):野生型。
 
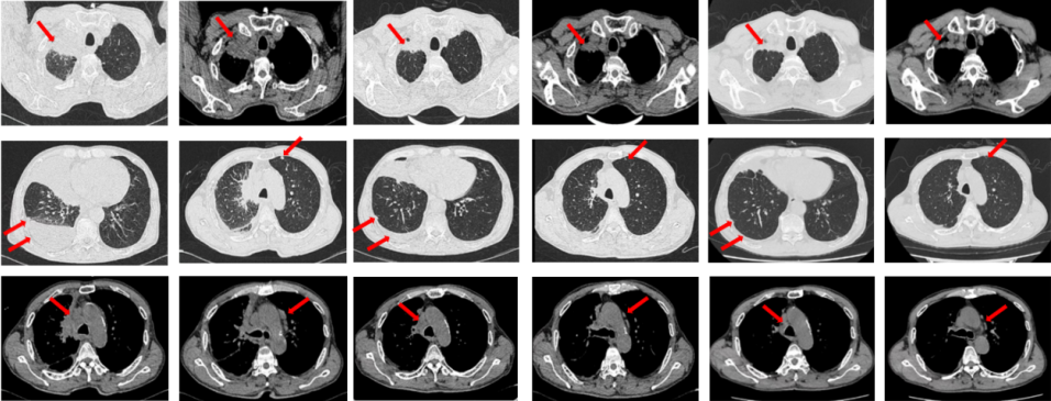
2022年7月至2022年11月行贝伐珠单抗联合培美曲塞/顺铂方案治疗6周期,2周期后评效PR,4周期后评效SD-(如图1)。第6周期治疗结束后患者自行终止治疗。
 
图1:由左至右分别展示基线(A.)及一线治疗后改变(B.和C.)。红色箭头指示病灶位置,由上至下分别为右肺肿物、右侧胸膜转移病灶及胸腔积液、左侧胸膜转移病灶、多发纵隔淋巴结肿大。
 
2023年3月患者因咳嗽伴胸闷复查出现全面PD。2023年3月-2023年4月重启原方案贝伐珠单抗联合培美曲塞/顺铂治疗2周期。2023年5月复查评效PD。行左锁骨上淋巴结穿刺,病理回报:左锁骨上见异型细胞,考虑为癌可能性大。组织NGS基因检测:MET基因扩增(变异倍数)2.0倍,TP53错义突变,PD-L1(22C3):TPS 75%。2023年5月-2023年8月改行替雷利珠单抗联合紫杉醇脂质体治疗4周期,2周期后评效SD。(如图2)
 
图2:A.代表一线治疗停药后病情进展,右肺上叶肿物、右侧胸膜转移灶及纵隔淋巴结较前增大、增多,右侧胸腔积液较前增多;B.原方案重启后复查评效右肺上叶肿物及纵隔淋巴结较前略饱满,右侧胸腔积液较前明显增多;C.更改二线治疗方案后整体病灶较前无显著变化。
 
2023年9月复查评效PD。成功入组“一项开放、多中心对比谷美替尼与多西他赛在既往接受免疫治疗和含铂双药化疗后进展的驱动基因阴性且伴有MET扩增的局部晚期或转移性非小细胞肺癌患者中的随机对照III期临床研究”。成功随机到试验组,口服谷美替尼至2024年10月,期间复查最佳评效PR。
 
图3:A.二线治疗后病情进展,右肺上叶新发肿物较前明显增大,新发无症状脑转移病灶;B.经谷美替尼(300mg po qd)治疗3个月后复查肺内病灶及颅内病灶较前明显缓解
 
2024年10月复查出现PD,后因患者病情迅速恶化进入肿瘤姑息治疗。该患者的全部诊治经过如图4所示。
 
图4:该患者的诊治经过。
 
病例2
 
67岁女性患者,无既往病史。2019年10月患者因右侧季肋部不适行肺CT提示右肺中叶改变,双肺结节,右侧胸腔积液。行右侧胸腔穿刺引流,送检胸腔积液,液基薄层结果提示肺腺癌。确诊为右肺中叶恶性肿瘤cT2bN1M1a IVA期。基因检测(胸腔积液):EGFR L858R突变。建议患者口服奥希替尼,患者拒绝。2019年11月始口服埃克替尼,定期复查,最佳评效PR(图5)。
 
图5:A.第2例患者的基线影像资料,由上至下依次为右肺肿物、双肺转移灶及右侧胸腔积液;B.EGFR-TKI一线治疗后最佳复查评效,肺内病灶较前缩小,胸腔积液较前明显吸收。
 
2020年11月复查评效PD。复测基因检测(血检):T790M阳性,改行奥希替尼治疗,期间评效均为SD(图6)。
 
图6:A.埃克替尼靶向治疗后病情进展,肺内病灶较前增大,右肺近胸膜处新发转移灶;B.更换三代EGFR-TKI治疗后复查多处病灶未见明显变化。
 
如图7所示,2021年7月复查评效PD。重新行右肺穿刺取得病理,提示腺癌。NGS组织基因检测:MET基因扩增(变异倍数)4.0倍。改行赛沃替尼联合奥希替尼治疗。治疗10日后突发一过性寒战伴低血压,不除外药物相关,对症治疗后好转。复查评效达PR,因患者无法耐受药物不良反应,改行奥希替尼联合克唑替尼治疗至今,定期复查,最佳评效PR,末次评效SD(2024年7月)。
 
图7:A.奥希替尼治疗后病情进展,右肺内病灶较前再次增大,同时右肺内新发转移灶;B.出现MET扩增后,奥希替尼联合MET-TKI治疗后肺内病灶较前明显缩小;C.当前方案治疗持续有效。
 
图8:第2例患者的整体诊治过程
 
病例讨论
 
MET基因位于人类第7号染色体上,编码的c-MET蛋白是一种具有自主磷酸化的跨膜受体。MET异常活化通过激活下游MAPK/ERK、PI3K/PKB、mTOR、JAK/STAT等信号通路促进肿瘤细胞的增殖、侵袭和迁移。
 
MET基因扩增是NSCLC中最常见的MET异常形式之一,可见MET扩增的精准检测尤为重要,对于患者个体化治疗以及预后预测具有指导意义。目前,FISH检测是明确MET扩增的金标准;NGS法检测虽然普适性强,但存在基于液体活检的NGS可能因灵敏度不足而低估基因扩增的实际情况,且针对MET基因扩增阳性阈值尚缺乏统一标准。因此,优化组织及液态活检中MET扩增的“起跑线”,以NGS为代表的新型分子检测方法或可推动临床实践的规范化和标准化。
 
MET扩增患者对单纯化疗或化疗联合免疫治疗的反应性较差,表现出高度耐药性,综合第1例病例报告患者的诊治经过可以佐证这一结论。但MET抑制剂的研发及应用为其带来曙光。在第一则MET扩增的病例报告中,该患者积极入组谷美替尼临床研究。在治疗期间肿瘤体积明显缩小,PFS达到13个月,显著改善患者的预后。患者在治疗期间仅出现1-2级外周水肿,未发生严重的不良事件。这个病例充分彰显谷美替尼在MET扩增NSCLC患者中的抗肿瘤活性,同时提醒我们在未来的研究中应进一步前瞻性地探索MET抑制剂在MET扩增NSCLC中的疗效和安全性。
 
MET扩增是EGFR-TKIs治疗耐药的重要机制,SAVANNAH、INSIGHT2等多项研究中EGFR和MET通路的双靶抑制可能带来协同治疗获益[7-8]。MET-TKI或将成为靶向治疗获得性耐药的“重头戏”。针对第二例病例报告,T790M耐药后MET扩增成为主要作用机制,三代EGFR-TKIs联合高选择性的Ib型MET-TKIs展示出良好的治疗应答,但因出现过敏反应调整为克唑替尼后PFS仍长达39个月。既往研究中单药克唑替尼疗效不佳,由此猜想:①多激酶抑制剂克唑替尼可能更有效地抑制MET异常激活;②奥希替尼+克唑替尼治疗可能抑制多条旁路激活,预防获得性耐药机制的发生。以上假设有待进一步研究及探索。
 
结论
 
以上病例证明,NGS检测MET基因扩增的特异性和灵敏度有待提高,以便更好地鉴别靶向治疗获益群体。期待开发新型MET-TKI、MET-ADC或联合治疗模式,旨在为MET扩增患者提供更加精准、有效的治疗策略。
 
参考文献
 
1.Qin J,Chen BL,Cheng H,et al.Genetic heterogeneity and predictive biomarker for pulmonary sarcomatoid carcinomas.Cancer Genetics.2021;250-251 12-19.
 
2.Gow CH,Hsieh MS,Wu SG,et al.A comprehensive analysis of clinical outcomes in lung cancer patients harboring a MET exon 14 skipping mutation compared to other driver mutations in an East Asian population.LUNG CANCER.2017;103:82-89.
 
3.Huang CW,Zou QH,Liu H,et al.Management of Non-small Cell Lung Cancer Patients with MET Exon 14 Skipping Mutations.CURRENT TREATMENT OPTIONS IN ONCOLOGY.2020;21(4):33.
 
4.Guo RB,Luo J,Chang J,et al.MET-dependent solid tumours-molecular diagnosis and targeted therapy.Nature Reviews Clinical Oncology.2020;17(9):569-587.
 
5.Recondo G,Che JW,J?nne PA,et al.Targeting MET Dysregulation in Cancer.Cancer Discovery.2020;10(7):922-934.
 
6.NCCN NSCLC临床指南非小细胞肺癌.2024.v1.
 
7.Sequist LV,Han JY,Ahn MJ,et al.Osimertinib plus savolitinib in patients with EGFR mutation-positive,MET-amplified,non-small-cell lung cancer after progression on EGFR tyrosine kinase inhibitors:interim results from a multicentre,open-label,phase 1b study.LANCET ONCOLOGY.2020;21(3):373-386.
 
8.Wu YL,Guarneri V,Voon PJ,et al.Tepotinib plus osimertinib in patients with EGFR-mutated non-small-cell lung cancer with MET amplification following progression on first-line osimertinib(INSIGHT 2):a multicentre,open-label,phase 2 trial.LANCET ONCOLOGY.2024;25(8):989-1002.

 

本内容仅供医学专业人士参考


肺癌

分享到: 更多